實例分析:去耦合對電磁兼容到底有啥影響
發布時間:2017-01-05 責任編輯:sherry
【導讀】在考慮配電網(PDN)阻抗與同時開關噪聲(SSN)和電磁兼容性(EMC)的關係時,了解去耦合的影響至關重要。如果一個PCB的功率完整性或去耦合特性較差,例如高PDN阻抗, 就會產生SSN和EMC問題。本文將通過實際案例,來證實PCB的PDN阻抗、SSN和EMC之間的關係。
本文通過實際案例,來證實PCB的PDN阻抗、SSN和EMC之間的關係。
在考慮配電網(PDN)阻抗與同時開關噪聲(SSN)和電磁兼容性(EMC)的關係時,了解去耦合的影響至關重要。如果一個PCB的功率完整性或去耦合特性較差,例如高PDN阻抗, 就會產生SSN和EMC問題。本文將通過實際案例,來證實PCB的PDN阻抗、SSN和EMC之間的關係。
分析和結果
測試的原型為下麵兩個版本:一個由晶體振蕩器提供外部50MHz參考的FPGA;三個主要接口:350MHz時鍾速率的DDR2 SDRAM、150MHz的ADC數據總線和100MHz 的以太網。所有這些元器件都由1.8V降壓轉換器供電。通過表1中列出的測試案例,可以了解去耦合(包括PCB疊層和電容器)對SSN和EMC的影響。
在測試案例1中,原型PCB包括四個信號層和一個接地層,有16個0.1μF去耦合電容器連接到PCB上FPGA的+1.8V電源引腳。在測試案例2中,原型PCB包括四個信號層和三個接地層,有25個0.1μF去耦合電容器連接到PCB 上FPGA的+1.8V電源引腳。

表1. 研究PCB去耦合對SSN和EMC影響的測試案例。
由圖1的PDN阻抗曲線可以看出( 使用Mentor Graphic Hyperlynx軟件對布局後期的功率完整性進行分析),相比測試案例1,測試案例2的電力網有更好的去耦合條件,因而在寬帶範圍內有更低的阻抗。0.1μF的電容器在中低頻段(< 400MHz)會產生影響。另外,接地層的平麵電容在頻率高於400MHz時會產生影響。與測試案例1相比, 測試案例2有更多的去耦合電容器和接地層,因而具有更低的PDN阻抗。

圖 1. PDN 阻抗圖
然後,對兩個測試案例中頻率跨越30MHz至1000MHz時+1.8V(使用頻譜分析儀通過交流耦合探測)的功率頻譜進行比較。參見圖2b所示的測試案例2的頻譜,所觀察到的雜散主要是由晶體振蕩器(50MHz基頻)、DDR2 SDRAM (350MHz基頻)、ADC數據總線(150MHz基頻)和以太網(100MHz基頻)的諧波造成的。在圖2a所示的測試案例1中, 由於去耦合性能較差,頻譜上出現了雜散,其功率達到最高。
PDN阻抗和晶體振蕩器瞬態電流之間的相互作用, 加上在特定頻率上同時開關或切換的IC輸出緩衝器(即SSN),共同產生了電網噪聲。通過改善去耦合降低功率阻抗,SSN和頻率雜散便能得到抑製。

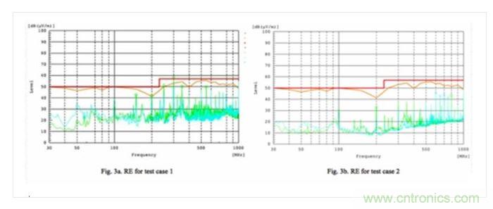
通過在3米的電波暗室進行輻射發射(RE)測試可以比較 兩種測試案例的原型之間的噪聲性能。測試案例2顯示出比測試案例1更好的RE或EMC性能,測試案例2中有更多的接地層,這不僅能改善去耦合或PDN阻抗,還為沿PCB 跡線傳輸的所有信號提供了恰當的返回路徑,從而進一步降低了輻射發射。

圖3a: 測試案例1的RE 圖3b:測試案例2的RE
結論
實際測試證實了去耦合對SSN和EMC的確會產生影響。因此,PDN和PCB疊層必須采用嚴格的方式執行, 以確保原型具有出色的質量、穩健性和功能。
特別推薦
- 噪聲中提取真值!瑞盟科技推出MSA2240電流檢測芯片賦能多元高端測量場景
- 10MHz高頻運行!氮矽科技發布集成驅動GaN芯片,助力電源能效再攀新高
- 失真度僅0.002%!力芯微推出超低內阻、超低失真4PST模擬開關
- 一“芯”雙電!聖邦微電子發布雙輸出電源芯片,簡化AFE與音頻設計
- 一機適配萬端:金升陽推出1200W可編程電源,賦能高端裝備製造
技術文章更多>>
- 邊緣AI的發展為更智能、更可持續的技術鋪平道路
- IAR作為Qt Group獨立BU攜兩項重磅汽車電子應用開發方案首秀北京車展
- 數字化的線性穩壓器
- 安森美:用全光譜“智慧之眼”定義下一代工業機器人
- 貿澤EIT係列新一期,探索AI如何重塑日常科技與用戶體驗
技術白皮書下載更多>>
- 車規與基於V2X的車輛協同主動避撞技術展望
- 數字隔離助力新能源汽車安全隔離的新挑戰
- 汽車模塊拋負載的解決方案
- 車用連接器的安全創新應用
- Melexis Actuators Business Unit
- Position / Current Sensors - Triaxis Hall
熱門搜索
Future
GFIVE
GPS
GPU
Harting
HDMI
HDMI連接器
HD監控
HID燈
I/O處理器
IC
IC插座
IDT
IGBT
in-cell
Intersil
IP監控
iWatt
Keithley
Kemet
Knowles
Lattice
LCD
LCD模組
LCR測試儀
lc振蕩器
Lecroy
LED
LED保護元件
LED背光



