采用集成FET設計的EMI抑製技術
發布時間:2021-04-07 責任編輯:wenwei
【導讀】本係列文章的第 1 部分至第 4 部分詳細介紹了開關電源穩壓器引起的傳導發射和輻射發射,包括噪聲產生機製、測量要求、頻率範圍、適用的測試限值、傳播模式和寄生效應。在第 5 部分中,我將基於這一理論基礎介紹抑製電磁幹擾 (EMI) 的實用電路技術。
一般來說,電路原理圖和印刷電路板 (PCB) 對於實現出色的 EMI 性能至關重要。第 3 部分重點強調通過謹慎的元器件選型和 PCB 布局盡量減小“功率回路”寄生電感的重要性。電源轉換器集成電路 (IC) 的封裝技術及其提供的 EMI 特定功能對此產生了巨大的影響。如第 2 部分所述,必須使用差模 (DM) 濾波方可將輸入紋波電流的幅值充分降低至滿足 EMI 合規性要求的水平。與此同時,如果需要抑製約 10MHz 以上的發射,通常使用共模 (CM) 濾波。在高頻條件下,使用屏蔽也可以獲得優異的結果。
本文主要介紹這些方麵的內容,專門聚焦於帶有集成功率 MOSFET 和控製器的轉換器解決方案,提供抑製 EMI 的實例和應用指導。一般來說,轉換器應在合理範圍內超出傳導 EMI 一定的裕度,為達到輻射限值預留空間。幸運的是,多數減少傳導發射的步驟對於抑製輻射 EMI 同樣有效。
了解 EMI 的相關挑戰
DC/DC 轉換器中的 EMI 主要由其快速開關的電壓和電流特性所致。與轉換器的不連續輸入或輸出電流相關的 EMI 相對容易處理,但更大的問題是開關電壓 dv/dt 和電流 di/dt 中的諧波成分,以及與開關波形相關的振鈴。
圖 1 所示為存在噪聲的同步降壓轉換器的開關 (SW) 電壓波形。振鈴頻率範圍為 50MHz 至 200MHz,具體取決於寄生效應。此類高頻成分可以通過近場耦合傳播到輸入電源線、周邊元器件或輸出總線(如 USB 電纜)。體二極管反向恢複存在類似的問題,隨著恢複電流流入寄生回路電感,振鈴電壓升高。

圖 1:同步降壓轉換器在 MOSFET 導通和關斷開關轉換期間的開關節點電壓波形和等效電路
圖 2 的原理圖標識了降壓轉換器電路的兩條重要回路。最大限度縮減電源回路的麵積至關重要,原因是該參數與寄生電感和相關 H 場傳播成正比。主要設計目標是通過減小寄生電感最大程度提升寄生 LC 諧振電路的諧振頻率。此舉可以降低存儲的無功能量總值,減少開關電壓峰值過衝。

圖 2:簡化的同步降壓轉換器原理圖(針對 EMI 標出了關鍵回路和走線)
在圖 2 所示的自舉電容回路中,高側 MOSFET 的導通速度由一個標記為 RBOOT 的可選串聯自舉電阻進行控製。自舉電阻會改變驅動電流瞬變率,降低 MOSFET 導通期間的開關電壓和電流轉換率。另一種方法是在 SW 和 GND 之zhi間jian添tian加jia一yi個ge緩huan衝chong電dian路lu。同tong理li,該gai緩huan衝chong電dian路lu應ying根gen據ju每mei次ci開kai關guan轉zhuan換huan時shi的de瞬shun態tai電dian流liu尖jian峰feng,占zhan用yong最zui小xiao的de回hui路lu麵mian積ji。當dang然ran,緩huan衝chong電dian路lu和he柵zha極ji電dian阻zu會hui增zeng加jia開kai關guan功gong率lv損sun耗hao,需xu要yao在zai效xiao率lv和he EMI 之間進行權衡。如果效率和散熱性能同樣非常重要,則需要使用其他技術解決 EMI 相關的挑戰。
轉換器的 PCB 布局
表 1 至表 5 總結了通過優化 PCB 布局及元器件排布削弱 DC/DC 轉換器 EMI 信號的基本準則。我將在本文的後續部分提供一項 PCB 布局案例研究,探討如何優化降壓轉換器的 EMI 特性。
表 1:布線及元器件排布。

表 2:GND 平麵設計。

表 3:輸入和輸出電容。

表 4.電感和開關節點布局。

表 5.EMI 管理。

EMI 輸入濾波器
圖 3 所示為典型的多級 EMI 輸入濾波器。低頻和高頻部分可提供 DM 噪聲衰減,也可選擇 p 級,通過 CM 扼流器提供 CM 衰減。標記為 CBULK 的電解電容具有固有的串聯電阻 (ESR),可用於設置所需阻尼,降低轉換器輸入的有效品質因子,保持輸入濾波器的穩定性。
DM 電感的自諧振頻率 (SRF) 限製濾波器第一級可實現的高頻 DM 衰減。濾波器第二級通常至關重要,其使用鐵氧體磁珠在高頻條件下提供附加的 DM 衰減,此時額定阻抗通常為 100MHz。標記為 CF1 和 CF2 的陶瓷電容可將噪聲分流到接地端。

圖 3:具有 DM 和 CM 級的三級 EMI 輸入濾波器
DM 濾lv波bo器qi的de電dian感gan一yi般ban設she置zhi為wei削xue弱ruo基ji波bo和he低di頻pin諧xie波bo的de值zhi。應ying使shi用yong盡jin可ke能neng小xiao的de電dian感gan來lai滿man足zu低di頻pin濾lv波bo要yao求qiu,因yin為wei匝za數shu較jiao多duo的de大da電dian感gan具ju有you較jiao高gao的de等deng效xiao並bing聯lian電dian容rong (EPC),導致其 SRF 較高,影響其在高頻下的性能。
標記為 LCM 的 CM 扼流器針對 CM 電流提供較高的阻抗,其泄漏電感也可提供 DM 衰減。然而,在部分要求接地連接必須保持完好的應用中,該元器件不適用,這些應用需要更安靜的轉換器設計,CM 扼流器不再是首選。
為了演示 CM 扼流器的效果,圖 4 展示了德州儀器 (TI) LM53603,這是一款采用雙層 PCB 的 36V、3A DC/DC 轉換器解決方案 [7]。該器件的功率級位於頂層,EMI 輸入濾波器則放置於底部。如圖 4 中(zhong)的(de)布(bu)局(ju)所(suo)示(shi),濾(lv)波(bo)器(qi)附(fu)近(jin)的(de)接(jie)地(di)平(ping)麵(mian)覆(fu)銅(tong)區(qu)可(ke)借(jie)助(zhu)過(guo)孔(kong)縫(feng)合(he)提(ti)供(gong)屏(ping)蔽(bi)效(xiao)果(guo)。此(ci)外(wai),在(zai)濾(lv)波(bo)器(qi)級(ji)以(yi)下(xia)的(de)所(suo)有(you)層(ceng)中(zhong)插(cha)入(ru)敷(fu)銅(tong)層(ceng)切(qie)口(kou),可(ke)避(bi)免(mian) VIN 和 GND 走線之間產生寄生電容,從而為噪聲電流提供繞過 CM 扼流器的路徑並讓步於濾波器的阻抗特性。

圖 4:DC/DC 轉換器原理圖和 PCB 布局實施方案
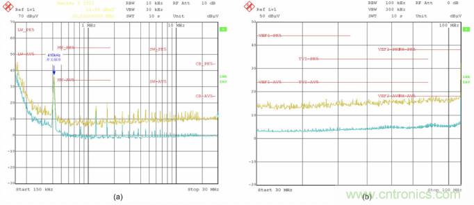
圖 5 所示為國際無線電幹擾特別委員會 (CISPR) 25 針對圖 4 的轉換器設計在 150kHz 至 108MHz 之間進行的傳導發射測量。我們提供了使用與不使用 CM 扼流器兩種情況下的測量結果。使用 Rohde & Schwarz 的頻譜分析儀,所得檢測器掃描結果的峰值和平均值分別以黃色和藍色表示。紅色限值圖象為 5 類峰值和平均值限值(峰值限值通常比平均值限值高出 20dB)。

圖 5:CISPR 25 在使用 CM 扼流器 (a) 與不使用 CM 扼流器 (b) 情況下進行的傳導 EMI 測量
金屬外殼屏蔽
另一種優化高頻 EMI 性能的有效方式是添加金屬外殼屏蔽層,從而阻擋輻射電場。外殼通常由鋁製成,采用框架(敞開式)或封閉式設計實施方案。屏蔽外殼可覆蓋除 EMI 濾波器之外的所有功率級元器件,外殼與 PCB 上的 GND 相連,基本形成了一個帶有 PCB 接地平麵的法拉第籠。
這使得從開關單元到 EMI 濾波器或長輸入線連接(也用作天線)的de輻fu射she噪zao聲sheng耦ou合he顯xian著zhu減jian少shao。當dang然ran,這zhe會hui產chan生sheng額e外wai的de元yuan器qi件jian和he裝zhuang配pei成cheng本ben,導dao致zhi散san熱re管guan理li和he散san熱re測ce試shi的de難nan度du增zeng加jia。鋁lv電dian解jie電dian容rong的de外wai殼ke也ye可ke以yi提ti供gong電dian場chang屏ping蔽bi,為wei實shi現xian此ci目mu的de,可ke在zai電dian路lu板ban上shang針zhen對dui性xing地di放fang置zhi該gai電dian容rong。
DC/DC 轉換器案例研究
圖 6 為 60V、1.5A 單片式集成同步降壓轉換器電路的原理圖,該電路通過多項功能實現最佳 EMI 性能。該原理圖還顯示了一個兩級 EMI 輸入濾波器級,旨在滿足汽車或噪聲敏感型工業應用的 EMI 規範。為了幫助實現最佳的 PCB 布局,原理圖中將高電流走線(VIN、PGND、SW 連接)、噪聲敏感型網絡 (FB) 和高 dv/dt 電路節點(SW、BOOT)突出顯示。

圖 6:采用 EMI 優化型封裝和引腳布局的 DC/DC 轉換器。內置一個兩級 EMI 輸入濾波器
a. 引腳布局設計
圖 6 所示的轉換器 IC 優勢在於,其 VIN 和 PGND 采用對稱且均衡的引腳排布。該轉換器利用兩個並聯的輸入回路使寄生回路電感成功減半。上述回路在 PCB 布局中標記為“IN1”和“IN2”,如圖 7 所示。兩個外殼尺寸為 0402 或 0603 的小型電容(在圖 6 中分別標記為 CIN1 和 CIN3)放置在盡可能靠近 IC 的位置,最大限度減小輸入回路麵積。兩個回路中的環流產生相反的磁矩,消除 H 場並降低有效電感。為了進一步降低寄生電感,PCB 第 2 層(緊靠頂層電源電路的下方)的 IN1 和 IN2 回路下方設有返回電流的連續接地平麵,可使場效應自行消除。
在電感兩側各使用一個陶瓷輸出電容(COUT1 和 COUT2)同樣能夠優化輸出電流回路。在輸出端引出兩個並聯的接地返回路徑可以將返回電流分成兩部分,有助於減弱“地彈反射”效應。

圖 7:僅部署在 PCB 頂層的功率級布局
SW 引腳位於 IC 中心,因此輻射電場會由 IC 兩側相鄰的 VIN 和 PGND 引腳屏蔽。GND 平麵覆銅區可對將 IC 的 SW 引腳連接到電感端子的多邊形覆層施加屏蔽。SW 和 BOOT 的單層布局意味著 PCB 的底側不會有 dv/dt 較高的過孔。這樣可以避免在 EMI 測試期間,電場與基準接地平麵耦合。
b. 封裝設計
與優化的引腳排布類似,電源轉換器 IC 封裝設計也是改善 EMI 信號的關鍵屬性。例如,德州儀器 (TI) 的 HotRodÔ 封裝技術采用引線框上倒裝芯片 (FCOL) 的方式,規避了功率器件線焊導致封裝寄生電感過高的情況。如圖 8 所示,IC 以上下翻轉的形式放置,IC 上的銅柱(也稱為凸點或支柱)直接焊接到引線框架。這種構造方法能夠提升密度並較薄的外型,因為每個引腳都與引線框架直接相連。從 EMI 角度來看,最重要的一點是,與傳統線焊封裝相比,HotRod 封裝降低了封裝的寄生電感。

圖 8:QFN 線焊封裝 (a) 和 HotRod FCOL (b) 封裝的結構對比
HotRod 封裝不僅可以在開關換向(50MHz 至 200MHz 頻率範圍)期間減少振鈴,還可以降低導通和開關損耗。圖 9 所示為開關節點電壓振鈴隨之得到改善的情況。圖 8 所示為圖 6 中的轉換器在 150kHz 至 108MHz 下測得的傳導發射。測量結果符合 CISPR 25 5 類要求。

圖 9:使用傳統線焊封裝的轉換器 (a) 和 HotRod FCOL 轉換器 (b) 時的開關節點電壓波形

圖 10:CISPR 25 傳導發射測量結果,(a) 頻率範圍為 150kHz 至 30MHz,(b) 頻率範圍為 30MHz 至 108MHz
總結
在本文中,我討論了使用電源轉換器 IC 的 DC/DC 穩壓器電路可以采用的 EMI 抑製技術。減弱 EMI 的 PCB 布局步驟包括盡量減小布局中的電流“熱回路”麵積、避免阻斷電流路徑、采用具有內部接地平麵的四層 PCB 結構實現屏蔽(屏蔽效果遠超雙層 PCB),以及通過盡量減小開關節點覆銅區域麵積來降低電場輻射耦合。
轉zhuan換huan器qi封feng裝zhuang類lei型xing是shi一yi項xiang重zhong要yao的de選xuan擇ze標biao準zhun,新xin一yi代dai器qi件jian的de開kai關guan節jie點dian振zhen鈴ling和he引yin腳jiao設she計ji得de到dao顯xian著zhu提ti升sheng,有you助zhu於yu實shi現xian最zui優you的de電dian容rong放fang置zhi方fang案an。從cong輸shu入ru濾lv波bo的de角jiao度du而er言yan,抑yi製zhi低di頻pin噪zao聲sheng(通常小於 10MHz)相對容易,使用傳統的 LC 濾波器級即可實現。然而,抑製高頻噪聲(10MHz 以上)通常需要額外使用 CM 扼流器和/或鐵氧體磁珠濾波器級。焊接到 PCB 接地平麵的金屬外殼屏蔽層也能有效減輕高頻發射。
在本係列文章的下一部分中,我將探討使用控製器驅動分立式功率 MOSFET 的 DC/DC 穩壓器電路適用的 EMI 抑製技術。根據 EMI 進行分析,這些技術更具挑戰性。
免責聲明:本文為轉載文章,轉載此文目的在於傳遞更多信息,版權歸原作者所有。本文所用視頻、圖片、文字如涉及作品版權問題,請聯係小編進行處理。
推薦閱讀:
特別推薦
- 噪聲中提取真值!瑞盟科技推出MSA2240電流檢測芯片賦能多元高端測量場景
- 10MHz高頻運行!氮矽科技發布集成驅動GaN芯片,助力電源能效再攀新高
- 失真度僅0.002%!力芯微推出超低內阻、超低失真4PST模擬開關
- 一“芯”雙電!聖邦微電子發布雙輸出電源芯片,簡化AFE與音頻設計
- 一機適配萬端:金升陽推出1200W可編程電源,賦能高端裝備製造
技術文章更多>>
- 築基AI4S:摩爾線程全功能GPU加速中國生命科學自主生態
- 一秒檢測,成本降至萬分之一,光引科技把幾十萬的台式光譜儀“搬”到了手腕上
- AI服務器電源機櫃Power Rack HVDC MW級測試方案
- 突破工藝邊界,奎芯科技LPDDR5X IP矽驗證通過,速率達9600Mbps
- 通過直接、準確、自動測量超低範圍的氯殘留來推動反滲透膜保護
技術白皮書下載更多>>
- 車規與基於V2X的車輛協同主動避撞技術展望
- 數字隔離助力新能源汽車安全隔離的新挑戰
- 汽車模塊拋負載的解決方案
- 車用連接器的安全創新應用
- Melexis Actuators Business Unit
- Position / Current Sensors - Triaxis Hall
熱門搜索
微波功率管
微波開關
微波連接器
微波器件
微波三極管
微波振蕩器
微電機
微調電容
微動開關
微蜂窩
位置傳感器
溫度保險絲
溫度傳感器
溫控開關
溫控可控矽
聞泰
穩壓電源
穩壓二極管
穩壓管
無焊端子
無線充電
無線監控
無源濾波器
五金工具
物聯網
顯示模塊
顯微鏡結構
線圈
線繞電位器
線繞電阻



